Uma mulher, mãe de um menino de 9 anos, foi presa em Itajaí, Santa Catarina, suspeita de bater no próprio filho com um cabo de vassoura. A agressão teria resultado em uma fratura no punho do garoto.

A suspeita foi presa na última quinta-feira (30), após o garoto chegar chorando na escola em que estudava. De acordo com a apuração do portal ND, o menino reclamava de fortes dores no braço e apresentava inchaço no punho.
Após ser questionado pelas professoras, o aluno revelou que havia apanhado da mãe com um cabo de vassoura. Segundo a Secretaria de Educação, foi aí que a orientadora da escola entrou em contado com a genitora.
Mãe admitiu bater no filho com cabo de vassoura
De acordo com a orientadora, a mãe confirmou a agressão. Ao ser questionada, a suspeita teria respondido que “bateu mesmo” e que não iria até a escola buscar o menino.
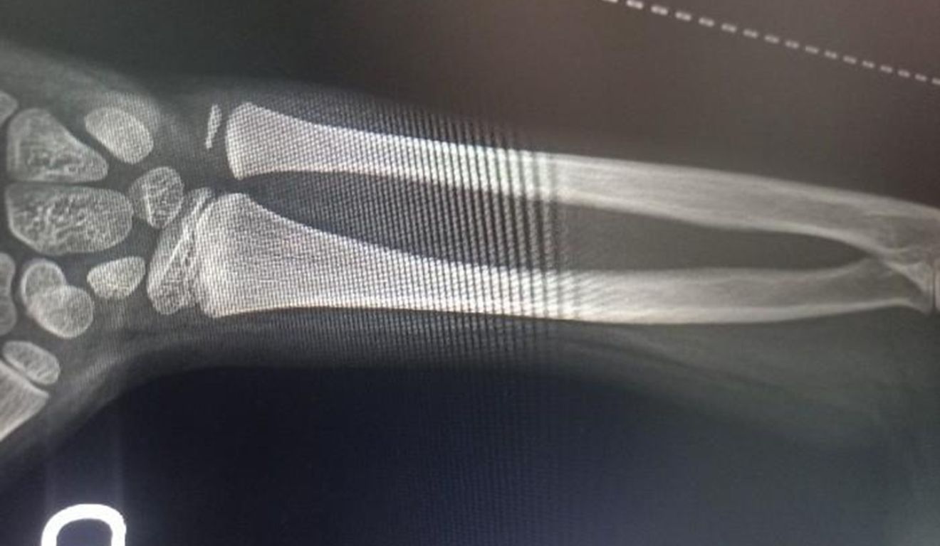
Por isso, a escola seguiu o protocolo do Conselho Tutelar e acionou o órgão de proteção à criança. Além disso, os docentes levaram o garoto ao Hospital Pequeno Anjo, onde a fratura foi confirmada. Ele precisou ser engessado.
Enquanto os policiais militares colhiam o relato dos professores, a mãe do garoto chegou no colégio. Imediatamente, ela recebeu voz de prisão em flagrante por maus-tratos e foi encaminhada À Central de Plantão Policial (CPP).
Conforme informações do Conselho Tutelar, a criança foi encaminhada do hospital para o acolhimento institucional e permanecerá sob os cuidados da rede de proteção. Já a mãe que o agrediu com o cabo de vassoura continua à disposição da Justiça.
Quer receber notícias no seu celular? Entre no canal do Whats do Ric.com.br. Clique aqui